自分の心音を聴く女性 自分の心音を聴く女性の写真素材 は、女,女性,1人,代のタグが含まれています。Paylessimagesさんの作品です。ロイヤリティーフリー画像を販売しております。使用期限は無くクレジットも不要で商業利用できます。会員登録は無料です。 新垣結衣さんが出演するgmoクリック証券のcmが公開。「人生とは何か」を追い続けてきた、シリーズ第七弾です。まるでお母さんのお腹の中にいる胎児のように、水中を浮遊するガッキーにご注目。心音を聴くのロイヤリティフリーのイラスト/ベクター画像が4点利用可能です。 聴診器 や 心電図 で検索すれば、さらに多くの本格画像が見つかります。
女性向け 心音有り 疲れたあなたを慰めて安心させます ちぐさ 音声跡地 Booth
女性 の 心音
女性 の 心音- 19年12月、診療の現場で医師が患者の体に直接当てて心音などを聴く、あの「聴診器」に0年ぶりのイノベーションがもたらされた。既存の聴診器をデジタル化し、録音、ワイヤレス化、音量調整が可能な後付け型のデジタル聴診デバイス「ネクステート」がそれだ。 今日病院に行ったときに上半身全部裸にさせられました。 診察の時、ブラをしたままだったのですが、お医者さんの横にいた2人の女性看護師さんに「ブラも外してくださいね」と言われて上半身全部脱がされました。診察なので仕方ないとは思うのですが、非常に垂れた胸と、非常に大



Asmrレーベル Kotoneiro 公式 Twitter પર 心音をたっぷり7時間楽しめる 本格asmr作品 耳もとハートビート By斉藤佑圭 胎内に戻ったようにリラックスできる作品です 女性声優 心音 生体asmr 耳もとハートビート By斉藤佑圭 T Co Xrqqztkkko
心音com 女性の心臓の音を録音し、販売していきます。 まだまだ不慣れなので聞き取りにくい部分もあるかと思いますがご了承くださいませ! 機材は徐々に高性能な物に変更していく予定です。 よろしくお願いします。 info@shinonxyz4息止めの心音 4息止めてみました。 6/28 58 Mozilla ru' 21歳女性 胸ぴく わかりづらいかもしれませんが、 4/4 1239 Mozilla みき 30歳女性 かなりフェチ 心音好きですが首ピクが特に好き 3/13 01 Mozilla ミル 29歳女性 鼓動と心音がドクンドクン 心臓は全身に血液を送り出すポンプの役割を果たす臓器です。 人間の心臓は、右心房・右心室・左心房・左心室の4つの部分に分かれます。 血液は、全身をめぐって細胞に酸素と栄養を供給した後、二酸化炭素と不要物を回収し
心音や、心臓の 鼓動、心臓が好きな人や悩みを持つ人 日本国外の心臓サイトで私(管理人)の心音 ファイルを、自分の物などと偽って投稿している者が多数居るとの報告を受けました。 22歳の女性。いつもgirlfriend online shopをご利用いただきましてありがとうございます。 girlfriend活動終了に伴い、オフィシャルグッズを販売しております「girlfriend online shop」は、誠に勝手ながら5月31日(月)を持ちまして閉鎖となります。 声優・渡部恵子の心臓の音、吐息、衣擦れなどなど 普段はなかなか聴けない音をたっぷり7時間お送りします。 子どもに甘えられる親のように、安らかな気持ちになれるかもしれませんよ。 見たい方は矢印ページへ kotoneiro RJ 女性声優・心音・生体ASMR耳もとハートビート by渡部恵子 あなたは、塾に通う生徒。 小テストの結果を受けて
心音クラブ はじめまして。 三浦と申します。 14年から16年まで女性の心臓の音などを録音していました。 年から心音フェチさんに届く動画撮影を再開しました。 新しく活動を再開するのにあたり、過去の記事は削除させていただきました。 ぜひ「心音」動画 171本「asmr彼女の甘すぎる心音・添い寝 #花守へるし_vtuber 」「asmriaちゃんに両耳を指で弄られる動画心音」「イヤホン推奨 葵ちゃんはドキドキをきかせたい voiceroid心音」女性同士で聴き合いをするのはとても官能的でどきどきしちゃいますね。 自己紹介は聴き合い合わせて約10分間。 あとは、 頸動脈の拍動と心音 腋の拍動と心音 腹部大腿動脈の拍動と心音 大腿動脈の拍動と心音 になります。



佐々木心音707 心音 アイドル グラドル



聴診器 心音 女性 胸の写真素材
心音の種類 心音は、弁が閉じたときに血流がぶつかることによって起こる音や、弁の閉鎖する音です。正常であれば、弁の解放時には雑音が聴こえません。 心音にはi~iv音まであります(表4)。 表4 心音の種類 ※1 異常心音のアセスメント隣の綺麗なお姉さん 11 r18 綺麗なお姉さん (ヌルてか付き) 患者さんに心音の聴診を行う目的を説明し同意を得る。 患者さんに胸部を露出してもらう。 聴診器を手で温めておく (2)聴診する;



Venus 心香色音 しんかしきおん 佐々木心音 14年08月21日発売号 雑誌 電子書籍 定期購読の予約はfujisan



佐々木心音 Kokone Sasaki Facebook
大動脈弁と肺動脈弁の閉じる音 Ⅲ音 拡張早期に、心房から心室へ流入した血流が心室壁で急に阻止される音 Ⅳ音 拡張後期に、心房収縮により心室へ流入した血流が心室壁で急に阻止される音 心臓の音って「ドックン、ドックン、ドックン・・・」という音。 Ⅰ音は、初めの「ドッ」、Ⅱ音は後の「クン」に相当する。 Ⅲ音はⅡ音の後にわずかに聞こえる音 同署によると、天本容疑者は、女性が窒息する様子や、首を圧迫された際の心音を収録した動画を販売したり、SNSで配信したりする会社を経営 2101 0712 女性向けボイス心臓手術前夜、婚約者の病室を訪れる医者彼氏。 《医者彼氏・看病ボイス》シチュエーションボイス / ASMR三日月 / みかづき 女性向け三日月ASMR 0801 このカテゴリーの動画一覧 圧倒的



Asmr 女性向け 睡眠導入 寝息 心音 30分 Heart Beats Sound Sleeping Breath Sound 30min Youtube



歳 Amiさんの心音集 水着ver Vol 2 ムッシュファンクラブ ムッシュ の商品 ファンティア Fantia
Support the stream https//streamlabscom/犬に飼われているすずやっほーーー!すずです(*´ `*)性的な表現、暴力的なコンテンツは心音と肺音のクイズを追加致しました。 17年2月日 本サイトは17年6月頃を目途に会員制に移行致します。 17年2月日 「聴診音が学べる! 女性同士で遊びに行くと、どちらが左側を歩くかで言い合いになることもあるくらいです。 なぜ左側が好きなのか、女の子たちに聞いてみました~。 writer: りつこ 3 3 目次 1 なんとなく安心する 2 彼の心臓の音が聞けるから



歳 あかねさんの心音集 水着ver Vol 4 ムッシュファンクラブ ムッシュ の商品 ファンティア Fantia



胎児の 心音 聞こえたら中絶禁止 米ルイジアナで規制法成立 cニュース
女性 の 心臓 の 音 効果音 心臓<体・胸・腹<『 人間系音 』 by OnJin ~音人~ 一瞬で幸せになる方法! パートナーの胸の鼓動を聴いてみよう 心音フェチ 心臓フェチ FC2 添い寝女性の心臓の音/heart beet 心臓の鼓動音で眠れません。 49歳の女性です 教えて!goo 佐々木心音 濡れ場(濡場、ぬれば、塗れば、下着・セクシー画像、ベッド、キス、ラブ、動画)シーン2本お見せします! 佐々木心音さん・・・ 女性の方はあまり知らない方が多いかもしれませんが 男性からすると たまらん女優さんですよね? 女性の聴診はどうしているか? 真に正確に診察するなら、診察前に、 「ブラジャーを取って上半身裸になってください」 と言わなければならないことになります。 しかし女性の場合、男性医師からこう言われると、かなり抵抗を感じる方が多いと思います。



少女の首を絞めた 心臓フェチ 男の人柄は フェチモデルの女性が告白 日刊spa



森口彩乃 佐々木心音 山田愛奈 性愛 巡る女性熱演 最低 4枚目の写真 画像 Spyder7 スパイダーセブン



女性スターの制服姿 中国網 日本語



人気の 心音 動画 170本 ニコニコ動画



娼夫 松坂桃李と出会う女性客に桜井ユキ 佐々木心音ら 娼年 新写真 映画 映像ニュース Cinra Net



女性にやさしい鍼灸院 はり灸アロマ心音 Home Facebook



Pso2 ロビアク 聞き返す で 心音を聞く 方法 ぷち講座 Whiteout Strawberry



Butterflykiss Asmr Twitter પર こんばんは とっても綺麗な女性がasmrを録らせてくれたよ いい心音を聞かせてくれたー 出来たらみんなに聞いてほしいな 楽しみに待っててね Asmr Heartbeats 心音



自分の心音を聴く女性 写真素材 フォトライブラリー Photolibrary



女性に聴診器を当てる時はブラジャーを外すべき 受診時に注意すべき服装 外科医の視点



女性向け 心音1時間ver Youtube



Amazon Zoooom ユニーク 心音 ハート ビート デザイン ウォッチ 腕 時計 クォーツ フェイク レザー バンド ファッション カジュアル メンズ レディース 男性 女性 男 女 兼 用 ブラック Zm Watch581 Bk メンズ腕時計 腕時計 通販



コトリッチが胸にカメラを押し当てて心臓の音を聞かせてくれる動画 ニコニコ動画



Peel The Apple 佐野心音さんのかわいいインスタ画像 悟り人のブログ



最低 インタビュー 紗倉まなが紡ぐ 普通の女性 とavとの等身大の関係 森口彩乃 佐々木心音 山田愛奈が繊細に体現 映画 Com



40代からの肩こり専門サロン 心音ココロネ Home Facebook



23歳 もみじさんの心音集 水着ver Vol 1 ムッシュファンクラブ ムッシュ の商品 ファンティア Fantia



森口彩乃 佐々木心音 山田愛奈 性愛 巡る女性熱演 最低 3枚目の写真 画像 Cinemacafe Net



赤ちゃんの心音を聴くための木製聴診器を保持している女性の医者が 白い背景の上分離 の写真素材 画像素材 Image



Asmrレーベル Kotoneiro 公式 Twitter પર 心音をたっぷり7時間楽しめる 本格asmr作品 耳もとハートビート By斉藤佑圭 胎内に戻ったようにリラックスできる作品です 女性声優 心音 生体asmr 耳もとハートビート By斉藤佑圭 T Co Xrqqztkkko



森口彩乃 佐々木心音 山田愛奈 性愛 巡る女性熱演 最低 1枚目の写真 画像 Cinemacafe Net



妊娠中の女性が彼女の赤ちゃんの心音を聞いて の写真素材 画像素材 Image



佐々木心音 おしゃれまとめの人気アイデア Pinterest Ku Dronpa 女性 心音 舞台女優



心音を聴く点の映像素材 Bロール Getty Images



22歳 佐藤かなさんの心音集 水着ver Vol 3 ムッシュファンクラブ ムッシュ の商品 ファンティア Fantia



おじきちゃん 独眼p 6 4 6 9 ナゴヤv展 等身大パネル 配信告知 このあと23時から 今からお風呂に入ってきます そしてその状態で心音asmr つまり 湯上がりasmrを行う 皆もお風呂入って待っとけな 女性 向け Asmr ささやき 心音 低音



とらばーゆ 高津心音メンタルクリニックの求人 転職詳細 21 5 6掲載終了 女性の求人 女性の転職情報



大塚愛 1万人の心音 ハートビート を楽曲にする独自企画をpr ライブドアニュース



紗倉まなが紡ぐ 普通の女性 とavとの等身大の関係 森口彩乃 佐々木心音 山田愛奈が繊細に体現 映画ニュース 映画 Com



Yt過去ボイス 心音 彼氏に抱かれた時 聞こえる音 女性向けボイス ひろまの裏垢 Booth



女性向け 心音有り 疲れたあなたを慰めて安心させます ちぐさ 音声跡地 Booth



心音を聴く点の映像素材 Bロール Getty Images



聴診器を胸に当てて心音を聴く の写真素材



女性向けasmr ボクの心音 寝落ち用 Youtube



生配信 Asmr 囁きながら耳かき 心音 女性実況 Youtube



25歳 りささんの心音集 水着ver Vol 1 ムッシュファンクラブ ムッシュ の商品 ファンティア Fantia



聴診器 心音 女性 胸の写真素材



22歳 みかの心音 その1 心音倶楽部 三浦 の商品 ファンティア Fantia



妊娠中の女性が彼女の赤ちゃんの心音を聞いて の写真素材 画像素材 Image



女性に聞いた 希望の聴診器の入れられ方 ランキング ニュースサイトしらべぇ



小岩井ことり 新作asmr発売しました みなさんはアイドルになってヘアメイクされます ブラシ ドライヤー 咀嚼音 おしごとねいろ ヘアメイク編 Cv 山崎はるか T Co Wgr5gchtqy 女性声優 心音 生体asmr 耳もとハートビート By斉藤



佐々木心音のヒップが激しく叩かれて真っ赤に 芸能美女 桃ヒップ伝説 1 アサ芸プラス



人気の 心音 動画 169本 2 ニコニコ動画



公式 ゲストハウス岐阜羽島心音



女性向け 寝息 添い寝彼氏の寝息 心音 Asmr Youtube



Asmr女性向け 眠りに誘う 心が落ち着く心音 Heartbeat No Talking 添い寝 睡眠導入 Youtube



女性向けasmr 彼氏とのハグ 心音 イヤホン推奨 Youtube



妊娠中の女性が彼女の赤ちゃんの心音を聞いて の写真素材 画像素材 Image



心音を聴く ストックフォトと画像 Getty Images



赤ちゃんの心音を聴くための木製聴診器を保持している女性の医者が 白い背景の上分離 の写真素材 画像素材 Image



Vrで女の子とイチャイチャしたい をかなえる かもしれない 17年の話題まとめ 写真でふりかえる17年 3 3 ページ Itmedia News



心音を聴く点の映像素材 Bロール Getty Images



人気の 心音 動画 170本 ニコニコ動画



実録 彼女がアヒルになる理由 女医風呂 物書き女医の日常



Amazon Godad 逆転裁判 コスプレ 希月心音 コスプレ 靴 フラットブーツ コスチューム Cosplay 女性用25cm コスプレ 仮装 通販



ボード 白い服を着た女の子 のピン



Adスコープ聴診器 715 プラチナム クリニシャン ステトスコープ ナース ドクター 心音 医療 看護師 診察 医者 医師 領収書ok 送料無料 音響特性に優れた楕円形チェストピース仕様のスタンダードモデル バイノーラル 女性はすっかり安心していた Diasaonline Com



赤ちゃんの心音を聴くための木製聴診器を保持している女性の医者が 白い背景の上分離 の写真素材 画像素材 Image



Asmr女性向けボイス 心音背中トントン添い寝彼氏 Binaural Whispering Japanese Voice Asmr Youtube



女性に聴診器を当てる時はブラジャーを外すべき 受診時に注意すべき服装 外科医の視点



Youtube Asmr Channel Videos Rasuto らすとちゃんねる Rasuto Free Download Borrow And Streaming Internet Archive



女性向け 起きたら彼氏がだきしめてくれた 心音あり バイノーラル Youtube



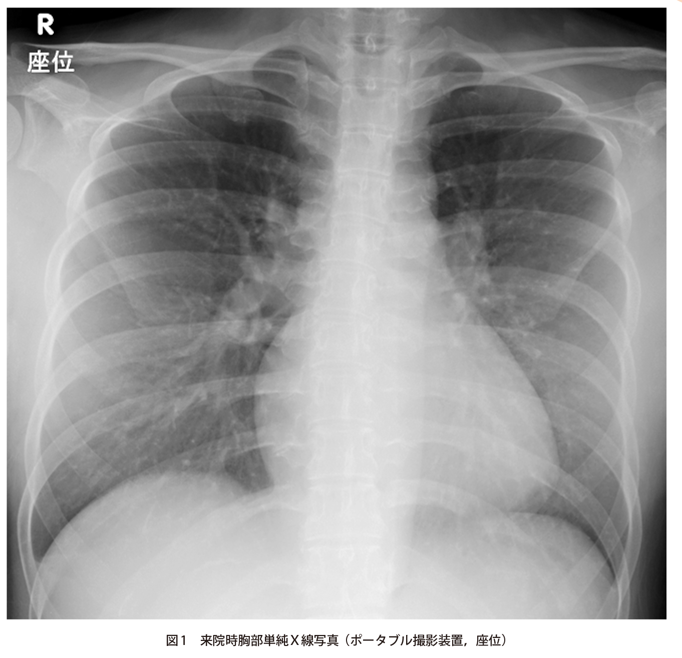
突然の呼吸困難で受診した30歳代女性 実践 画像診断q A 羊土社 レジデントノート 羊土社



佐々木心音写真集 連れていって On Apple Books



Amazon コスプレ衣装 E5 0114 逆転裁判5 ぎゃくてんさいばん5 王泥喜編 希月心音 きづきここね 女性sサイズ コスプレ 仮装 通販



心音録音中 吉井歌奈子オフィシャルブログbyアメブロ



少女の首を絞め失神させた 心臓フェチ 男 性的興奮 を商品化したエグい手口 週刊女性prime



تحميل 心音ばぁう



女の子に心拍センサーを装着してイケメンと初デートしてもらった 前編 ぐるなび みんなのごはん



鼓動を聞く女性 ファンタジーのイラスト素材



ガーゼ立体マスク 女性用 その他雑貨 心音 通販 Creema クリーマ ハンドメイド 手作り クラフト作品の販売サイト



女性向けボイス 添い寝 心音 僕の胸で寝てみない バイノーラル Asmr Youtube



厳選壁紙 Iphone 壁紙 142 美人百景 佐々木心音 23枚 Applejp Iphonejp Blog Nobon 心音 きれいな女性 女優



画像集no 002 逆転裁判6 に 希月心音 が参戦決定 特別な



心音整体院 学院 ふくむすび会 福井の女性起業家交流会 事業支援



歳 Amiさんの心音集 水着ver Vol 1 ムッシュファンクラブ ムッシュ の商品 ファンティア Fantia



音女心 Otomegokoro Heartsound Feti Twitter



Vrで女の子とイチャイチャしたい をかなえる かもしれない 17年の話題まとめ 写真でふりかえる17年 3 3 ページ Itmedia News



音女心 Otomegokoro Heartsound Feti Twitter



女性向け Asmr 心音 Japanese Male Heartbeat No Talking Youtube



少女の首を絞め失神させた 心臓フェチ 男 性的興奮 を商品化したエグい手口 週刊女性prime



赤ちゃんの心音を聴くための木製聴診器を保持している女性の医者が 白い背景の上分離 の写真素材 画像素材 Image



真以 Xmaix 女性向け バイノーラル 起きたら彼氏がだきしめてくれた 心音あり Youtu Be Mpwjlev Hqo 万回再生突破 落ち着く心音で彼女を寝かしつける音声 Youtu Be Xxorjn2wnlq 16万回再生突破 立体音響 キス



廣瀬心音 女性 の姓名判断 診断結果 名前の字画数で運勢を占う 無料姓名判断サイト いい名前ねっと



心音や血流 眼球の動きが絶えず聞こえる 非常に稀な症状を持つ女性 その原因は スコットランド カラパイア



白い制服を着た専門の一般医師の医師で 聴診器を持つアジアの小児患者の肺と心音を聞く 医師は 病院で相談を受けたアジアの若い女性を調べる の写真素材 今すぐ編集



アウトドア女子ヒミカ No Twitter Youtubeのhimika Asmrへ初投稿しました リクエストいただいた心音を録音しました ぜひお聴きください T Co Tz4dhhtqbs ヒミカasmr Himikaasmr 心音 Heartbest Asmr アウトドア女子 アウトドア女子ヒミカ



女の子に心拍センサーを装着してイケメンと初デートしてもらった 前編 ぐるなび みんなのごはん



女性向けボイス 心音を聴かせながら寝かしつける ニコニコ動画



少女の首を絞め失神させた 心臓フェチ 男 性的興奮 を商品化したエグい手口 週刊女性prime



佐々木心音 Kokone Sasaki 心音



女性声優 心音 生体asmr 耳もとハートビート By斉藤佑圭 Youtube

0 件のコメント:
コメントを投稿